Médica formada pela Universidade Federal de Santa Maria • Médica Plantonista da UTI Adulto do Hospital São Francisco de Assis - Santa Maria - RS • Plantonista das UTIs do Hospital Geral de Santa Maria e Hospital São Francisco de Assis
4 artigos publicados
A correta identificação da síndrome pode fazer diferença no manejo do paciente, pois a dosagem dos tóxicos no sangue é muitas vezes indisponível. Saiba mais:
12 ABRIL 2019

O JAMA Network publicou uma revisão sistemática a respeito de preditores clínicos de intubação difícil. Porque esta questão é tão importante? Descubra!
15 FEVEREIRO 2019

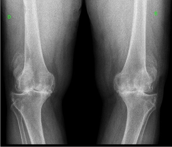
As recomendações para manejo da osteoartrite de joelho a longo prazo ainda são incertas, um estudo recente tentou esclarecer a questão. Confira o resultado:
14 FEVEREIRO 2019

O Global Initiative for Asthma (GINA) publicou uma atualização com as melhores evidências no tratamento e prevenção da asma. Veja os principais tópicos:
3 JANEIRO 2019