Médico Cardiologista; Gerente Médico da Santa Casa de Barra Mansa; Coordenador do Serviço de Cardiologia e Cirurgia Cardíaca da Santa Casa de Barra Mansa; Médico de rotina do CTI da Santa Casa de Barra Mansa; Cardiologista ambulatorial em consultório particular; MBA em Gestão em Saúde pelo Instituto Israelita Albert Einstein (em andamento).
133 artigos publicados
23 OUTUBRO 2025

Paciente foi atendido e medicado com analgésicos, melhorando a dor apenas após opioides. Confira o caso completo.
7 SETEMBRO 2023

Paciente estava hipocorada (++/4+) hipertensa e taquicardica com discreto esforço respiratório. Confira o caso completo.
6 JULHO 2023

Confira este caso clínico completo de um paciente com dois dias de vida apresentando quadro de parada cardíaca.
27 ABRIL 2023

Teste seus conhecimentos com o Quiz PEBMED sobre medicamentos a serem interrompidos antes do processo cirúrgico.
15 FEVEREIRO 2023

Estudo avaliou o escore de cálcio coronariano a fim relacionar a carga de cálcio em associação com morte súbita.
4 ABRIL 2022

O estudo brasileiro PATENS propôs comparar o uso da nitroglicerina intra-arterial com placebo para redução de oclusão da artéria radial.
4 ABRIL 2022

Com os dados do COMPLETE trial favoráveis à revascularização completa, os pesquisadores avaliaram a qualidade de vida pós-revascularização.
2 ABRIL 2022

Veja os principais conceitos e mudanças sobre insuficiência cardíaca na cardiologia, durante o ano de 2021.
31 JANEIRO 2022

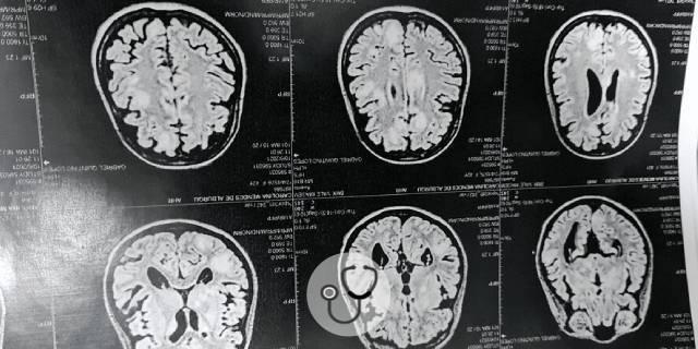
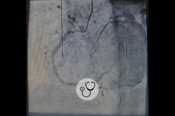
Paciente sem comorbidades conhecidas, eutrófico, IMC de 28, apresenta hemiparesia braquio-crural esquerda durante atividade laboral.
27 JANEIRO 2022