O diagnóstico da osteoporose em mulheres na pós-menopausa é frequentemente estabelecido com base na densitometria óssea (DXA).¹,² Contudo, a abordagem terapêutica baseada apenas no T-score é insuficiente para uma completa estratificação de risco, visto que a maioria das fraturas por fragilidade ocorre em mulheres com DMO acima do limiar diagnóstico de osteoporose.² Para otimizar o manejo e identificar pacientes que necessitam de terapias mais potentes, é fundamental avaliar a gravidade da doença.2 Sendo assim, algumas formas simples de se entender a saúde óssea do paciente podem ser utilizadas. Primeiro, realizar o questionário ósseo sobre fraturas de fragilidade FRAX, e segundo, solicitar a radiografia lateral da coluna torácica e lombar.3,4 Essa última surge como uma ferramenta acessível, de baixo custo e decisiva — embora ainda subutilizada na prática clínica, especialmente no Sistema Único de Saúde (SUS).2,5,6

A fratura vertebral: um evento sentinela muitas vezes ignorado
Uma fratura por fragilidade prévia é um dos principais fatores de risco para fraturas futuras.7 As fraturas vertebrais são as mais comuns e, em até dois terços dos casos, são assintomáticas.2
Fraturas vertebrais clínicas ou subclínicas representam um risco 5 vezes maior de novas fraturas vertebrais e um risco de 2 a 3 vezes maior de fraturas em outros locais.² Esse fenômeno, conhecido como “cascata fraturária”, ressalta a urgência da detecção e intervenção.6 Diretrizes internacionais recomendam a realização de imagem para detectar fraturas vertebrais subclínicas, em mulheres acima de 70 anos 2, na pós-menopausa com perda de altura histórica (≥ 4 cm) ou perda prospectiva de altura de ≥ 2 cm desde início de acompanhamento clínico,2 cifose, terapia oral com glicocorticoide de longo prazo recente (≥5mg/dia de prednisona ou equivalente por ≥ 3 meses)2, TS ≤ 2,5 na densitometria óssea ou dor lombar aguda com fatores de risco para osteoporose.¹
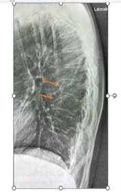
Do achado radiográfico à classificação da gravidade
A interpretação padronizada das radiografias é essencial para evitar o subdiagnóstico. Termos como acunhamento, que descrevem uma redução na altura anterior do corpo vertebral, podem indicar a presença de fratura e devem ser claramente reportados como tal no laudo.8 O método semiquantitativo de Genant é a ferramenta recomendada para classificar a gravidade das fraturas vertebrais (graus 1 — leve, 2 — moderada e 3 — grave), fornecendo uma linguagem universal que auxilia na avaliação clínica.8


A identificação de uma fratura vertebral ou de múltiplas fraturas vertebrais em uma radiografia muda radicalmente o estadiamento da paciente.2,4,7 De acordo com as diretrizes da American Association of Clinical Endocrinologists (AACE)7 e o consenso da Sociedade Brasileira de Endocrinologia e Metabologia (SBEM/ABRASSO), esses achados classificam a paciente na categoria de risco muito alto de fratura, independentemente do seu T-score na densitometria.4 Essa reclassificação é um passo fundamental para individualizar e intensificar o tratamento.4
Implicações terapêuticas: o papel dos agentes anabólicos
Para mulheres na pós-menopausa com risco muito alto de fratura, as diretrizes atuais recomendam uma mudança de paradigma terapêutico. Em vez de iniciar com agentes antirreabsortivos convencionais, a terapia de primeira linha recomendada é um agente osteoformador (anabólico).4 Essa abordagem, conhecida como anabólico primeiro, demonstrou maximizar os ganhos de densidade mineral óssea e proporcionar uma redução mais rápida e robusta no risco de fraturas.4
Nesse contexto, o romosozumabe é um anticorpo monoclonal que inibe a esclerostina, resultando em um mecanismo de ação duplo: aumento da formação óssea e redução da reabsorção.9 Recomendado para mulheres na pós-menopausa com osteoporose e risco muito alto de fratura, o tratamento com romosozumabe deve ser feito pela via subcutânea com a dose de 210 mg/mês, ter duração de 1 ano2 e pode ser seguido por um agente antirreabsortivo para manter e consolidar os ganhos de massa óssea.10,11 A sequência de tratamento é importante: iniciar com romosozumabe, seguido por um antirreabsortivo, leva a aumentos de DMO consideravelmente maiores do que a sequência inversa.10 A medicação futuramente será vista como parte da terapia de resgate para pacientes com risco muito alto de fratura a curto prazo, sendo viável para pacientes que já utilizaram teriparatida.7
Conclusão
A radiografia lateral da coluna é uma ferramenta diagnóstica indispensável que vai além da identificação da osteoporose, sendo fundamental na avaliação da sua gravidade.8 A detecção de fraturas vertebrais permite a correta estratificação da paciente para a categoria de risco muito alto, alterando a rota terapêutica.4 Para essas pacientes, a recomendação de terapia anabólica de primeira linha, com agentes como o romosozumabe, que demonstrou ser mais eficaz na redução do risco iminente de novas fraturas.4,12 Por isso, incluir a radiografia de coluna na rotina de avaliação e interpretá-la de forma criteriosa são passos fundamentais para uma abordagem moderna e eficaz da osteoporose no Brasil.*
*Opinião do especialista baseada na prática clínica e evidências científicas.
Este material é destinado exclusivamente a profissionais habilitados a prescrever ou dispensar medicamentos. Contém informações sobre produtos sujeitos à prescrição médica e deve ser utilizado conforme as regulamentações da ANVISA. Consulte a bula antes de prescrever.
BRA-785-25-80028 – novembro/2025
Material promocional aprovado de acordo com as regulamentações locais, destinado apenas aos profissionais da saúde habilitados a prescrever e/ou dispensar medicamentos. A Amgen recomenda o uso de seus medicamentos, de acordo com a aprovação regulatória local. Todas as referências citadas neste material estão disponíveis mediante solicitação dos profissionais da saúde ao SIC (Serviço de Informações Científicas), através do número gratuito 0800 742 0800 e/ou e-mail s[email protected].
Para mais informações consulte as minibulas do produto pelo QR Code.

Autoria

Juliane Braziliano
Médica graduada pela Universidade Federal do Rio de Janeiro (UFRJ). Residência de Endocrinologia e Metabologia pela Universidade Federal Fluminense (UFF). Residência de Clínica Médica pelo Hospital Federal dos Servidores do Estado (HFSE). Editora-médica de Endocrinologia do Portal Afya.
Como você avalia este conteúdo?
Sua opinião ajudará outros médicos a encontrar conteúdos mais relevantes.

