Paciente masculino, 78 anos, procura o consultório oftalmológico com queixa de baixa acuidade visual progressiva e metamorfopsia em olho direito há alguns meses. No exame de fundo de olho e tomografia de coerência óptica (OCT), foi detectada membrana epirretiniana com distorção macular (pucker).

Retinografia colorida do olho esquerdo: observa-se a presença de membrana epirretiniana na região macular, com brilho reflexivo superficial e pregueamento das camadas internas da retina, determinando distorsão do reflexo foveal compatível com pucker macular. Vasos retinianos apresentam leve tortuosidade na área acometida.

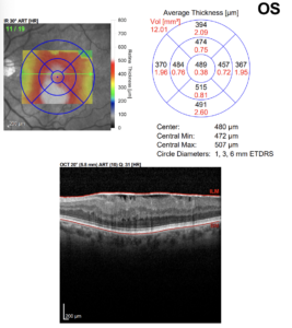
Tomografia de coerência óptica (OCT) macular – olho esquerdo: espessamento retiniano difuso com elevação e irregularidade da superfície interna (ILM), associado a tração e pregueamento das camadas internas, compatíveis com membrana epirretiniana. Observa-se padrão de desorganização das camadas internas da retina (DRIL) e perda da depressão foveal normal, com espessura central de 480 µm. Esses achados corroboram o diagnóstico clínico de pucker macular secundário à membrana epirretiniana.

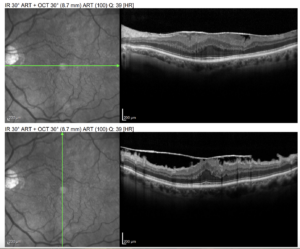
Tomografia de coerência óptica (OCT) macular – olho esquerdo: cortes horizontal e vertical demonstram membrana epirretiniana aderida à superfície interna da retina, com pregueamento das camadas internas, espessamento retiniano e irregularidade da fóvea, levando a perda da depressão foveal normal. Nota-se tração anteroposterior leve e reflexos hiper-refletivos na interface vítreo-retiniana, compatíveis com pucker macular decorrente de membrana epirretiniana.
Identifique a alternativa FALSA sobre o caso descrito:
AA presença de metamorfopsia ocorre devido à distorção da arquitetura retiniana provocada pela tração da membrana.
BA membrana epirretiniana é caracterizada por uma proliferação fibrocelular sobre a superfície interna da retina, frequentemente na região macular.
CA vitrectomia com remoção da membrana limitante interna pode ser indicada em casos sintomáticos com baixa visual significativa.
DO tratamento inicial é sempre cirúrgico, independentemente da acuidade visual do paciente.
Autoria

Alléxya Affonso
Graduada em Medicina pela Faculdade de Medicina Souza Marques (RJ) ⦁ Título de especialista pelo Conselho Brasileiro de Oftalmologia (CBO) ⦁ PhD em Oftalmologia e Ciências Visuais pelo programa de Doutorado da UNIFESP/EPM ⦁ Membro Titular da Sociedade Brasileira de Retina e Vítreo (SBRV) ⦁ Especialista em Retina Clínica, Uveítes e Oncologia Ocular pela UNIFESP/EPM.
Como você avalia este conteúdo?
Sua opinião ajudará outros médicos a encontrar conteúdos mais relevantes.




