Paciente, sexo feminino, 32 anos, apresenta queixa de corrimento amarelado com odor ruim há quase um ano. Faz uso de diversas pomadas ginecológicas com melhora do quadro, porém os sintomas retornam 1 semana após terminar a medicação. No momento, se encontra no 5º episódio. Nega prurido, ardor, dispareunia ou outras queixas.
Menarca aos 10 anos. Sexarca aos 15 anos. Nuligesta. História de clamídia tratada há 2 anos. Parcerias sexuais do último ano: 10. Nega uso regular de preservativos. Realiza tabela e coito interrompido. Sem parceria fixa no momento. Ciclos menstruais regulares. Última menstruação há 10 dias.
Nega comorbidades, cirurgias, uso de medicamentos, alergias ou tabagismo.

Exame físico:
Sinais vitais sem alterações. Bom estado geral. Cavidade oral sem lesões.
Exame ginecológico:
- Vulva: sem lesões evidentes.
- Exame especular: mucosa vaginal trófica, conteúdo branco bolhoso. Colo uterino de aspecto normal, muco endocervical claro.
- Toque vaginal bimanual sem alterações.
Exames complementares:
- pH vaginal: 5.0;
- Teste das aminas com KOH 10%: positivo.
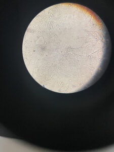
- Microscopia a fresco do conteúdo vaginal: predomínio de células superficiais, observo mais de 20% de células alvo (clue cells), predomínio de cocos aderidos às células (grau lactobacilar III), pequena quantidade de polimorfonucleares, não observados outros microorganismos. (ENVIO IMAGEM EM ANEXO)
- Colpocitologia oncótica e PCR HPV de alto risco, Chlamydia e Neisseria: negativos.
- Teste rápido para HIV, hepatites e sífilis negativos.
Qual diagnóstico e conduta?
- Vaginose bacteriana de repetição.
A vaginose bacteriana (VB) é a causa mais prevalente de corrimento vaginal. Cerca de 70% dos casos vão cursar com recorrência em 9 meses. Está associada a complicações infecciosas em cirurgias ginecológicas, complicações obstétricas e aumenta o risco de doença inflamatória pélvica (DIP).
Há um predomínio de Gardnerella vaginalis que vai produzir ácidos orgânicos estimulando ainda mais a proliferação de outros anaeróbios. Elas produzem aminas que volatizam e geram o odor de “peixe podre”.
Não é considerada uma IST, porém é mais frequente em pessoas com múltiplas parcerias, novo/a parceiro/a, que não usam preservativos, tabagistas, que fazem uso de duchas vaginais e portadoras de DIU cobre.
Os critérios de Amsel são muito utilizados na prática clínica para o diagnóstico e estão descritos a seguir:
1 – Conteúdo vaginal branco/acinzentado homogêneo bolhoso;
2 – pH vaginal > 4.5;
3 – Microscopia a fresco: clue cells ou células alvo (células escamosas impregnadas pela flora cocobacilar);
4 – Teste das aminas positivo (1 gota de KOH 10% sobre uma lâmina com conteúdo vaginal exacerbando o odor de “peixe podre”).
Faz-se o diagnóstico de vaginose bacteriana se presentes pelo menos 3 dos 4 critérios. No presente caso, os 4 critérios foram preenchidos. Estes critérios têm baixa sensibilidade, logo pode ter muito falso negativo. Assim, o padrão ouro é o escore de Nugent realizado na bacterioscopia pelo GRAM que não foi necessário no caso acima.
A vaginose bacteriana recorrente é definida como a ocorrência de 3 ou mais episódios/ano. O tratamento das recorrências pode ser feito das seguintes formas segundo protocolos atuais:
- Metronidazol 250mg 2 comprimidos VO 2xdia 10-14dias OU
- Metronidazol gel vaginal 100mg/g 10 noites à óvulos de ácido bórico 600mg via vaginal 21dias à metronidazol gel 2xsemana 4-6 meses
- Opção pelo CDC, 2021: Metronidazol 2g VO mensal + Fluconazol 150mg
Os óvulos de ácido bórico devem ser manipulados e têm efeito antibiótico fraco e seu principal papel seria quebrar biofilme. A formação de biofilme polimicrobiano (60-90% composto de Gardnerella) pode ocorrer na VB e dificultar a penetração antibiótica.
A resistência antibiótica pode ocorrer em casos de predomínio de Atopobium. Neste caso, a clindamicina seria a melhor alternativa.
No caso mencionado foi prescrito Metronidazol gel vaginal 10 noites à óvulos de ácido bórico 600mg via vaginal 21dias à metronidazol gel 2xsemana 4-6 meses. Foi reforçado a necessidade do uso regular de preservativos.
A paciente evoluiu bem, com melhora do quadro recorrente.

Autoria

Caroline Oliveira
Como você avalia este conteúdo?
Sua opinião ajudará outros médicos a encontrar conteúdos mais relevantes.