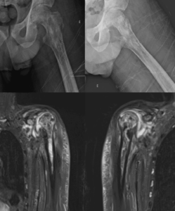
Paciente, 30 anos, sexo masculino, com diagnóstico prévio de anemia falciforme, buscou atendimento médico devido ao quadro de dor intensa e saída de secreção purulenta no quadril esquerdo, além de dor em ombros. Foi internado para investigação e tratamento. Dentre os exames realizados, temos os seguintes achados:

Diante da principal suspeita, qual o agente bacteriano mais frequentemente identificado nesse contexto?
ASalmonella spp.
BNeisseria gonorrhoeae
CEscherichia coli
DStaphylococcus aureus
Autoria

Gustavo Balbi
Editor-chefe de Clínica Médica da Afya • Residência em Clínica Médica pela Universidade Federal do Rio de Janeiro e em Reumatologia pela Universidade do Estado do Rio de Janeiro • Doutorando pela USP • Professor de Reumatologia da Universidade Federal de Juiz de Fora • Chefe do serviço de Clínica Médica do Hospital Universitário da Universidade Federal de Juiz de Fora • Membro da Comissão de Síndrome Antifosfolípide e da Comissão de Vasculites da Sociedade Brasileira de Reumatologia
Como você avalia este conteúdo?
Sua opinião ajudará outros médicos a encontrar conteúdos mais relevantes.




