

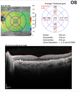
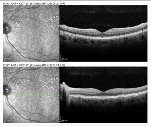
Qual das alternativas abaixo descreve corretamente uma característica da forma seca da degeneração macular relacionada à idade (DMRI)?
ACaracteriza-se pelo acúmulo de drusas e atrofia geográfica do epitélio pigmentar da retina.
B Está associada à formação de neovasos sub-retinianos e hemorragia macular.
C Tem progressão aguda e costuma causar sintomas visuais abruptos.
DÉ responsável por menos de 10% dos casos de DMRI, mas pela maioria dos casos de perda visual severa.
Autoria

Alléxya Affonso
Graduada em Medicina pela Faculdade de Medicina Souza Marques (RJ) ⦁ Título de especialista pelo Conselho Brasileiro de Oftalmologia (CBO) ⦁ PhD em Oftalmologia e Ciências Visuais pelo programa de Doutorado da UNIFESP/EPM ⦁ Membro Titular da Sociedade Brasileira de Retina e Vítreo (SBRV) ⦁ Especialista em Retina Clínica, Uveítes e Oncologia Ocular pela UNIFESP/EPM.
Como você avalia este conteúdo?
Sua opinião ajudará outros médicos a encontrar conteúdos mais relevantes.




