
A estratificação de risco para arritmias ventriculares e morte súbita em pacientes com cardiomiopatia dilatada não isquêmica (MCPD) se baseia tradicionalmente na avaliação fração de ejeção do ventrícu…
11 AGOSTO 2021

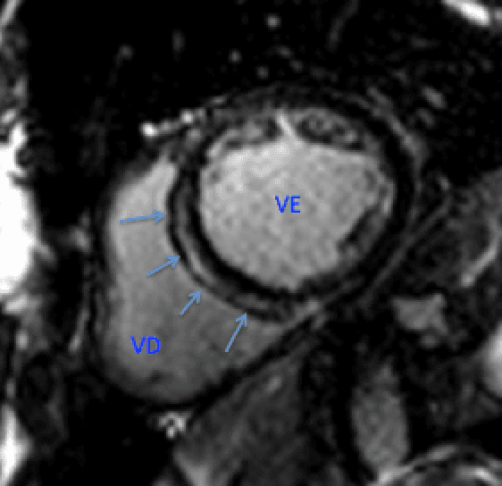
Já ouviu falar de disjunção anular mitral? Vamos ver o que você precisa saber. Começando com um caso:Paciente feminino, 22 anos, com extrassístoles ventriculares frequentes. Imagem mostra o seguinteO …
25 MAIO 2021

O manejo clínico da doença arterial coronariana estável envolve estratégias como modificação de fatores de risco, terapia medicamentosa e revascularização em pacientes com sintomas persistentes apesar…
18 JULHO 2019

A doença de Chagas afeta 5,7 milhões de pessoas na América Latina com importante impacto econômico, principalmente devido à perda de produtividade derivada da mortalidade precoce relacionada à cardiom…
18 DEZEMBRO 2018

Já ouviu falar de infarto silencioso? Escrevemos um post prévio sobre o assunto mas apenas lembrando a definição: O termo é empregado quando um paciente que não reporta passado de evento coronarian…
15 DEZEMBRO 2018

Uma dúvida frequente na prática clínica cardiológica é quando devemos solicitar o exame de Ressonância Magnética Cardíaca. Abaixo enumeramos as principais indicações do método.1 – Dúvida na função ve…
14 FEVEREIRO 2017

Com o envelhecimento da população e de doenças associadas tem aumentado significativamente a quantidade de pessoas que necessitam de dispositivos cardíacos eletrônicos implantáveis (DCEI), tais como m…
25 NOVEMBRO 2016

Quando avaliamos um paciente com queixa de dor torácica no ambulatório o primeiro passo deve ser sempre coletar uma boa história clínica associada a um exame físico minucioso. Através destes poderemos…
29 JULHO 2016

Observe a Ressonância Magnética do paciente com valvopatia aórtica:https://youtu.be/XBnxggc6QSs[polldaddy poll=9435972]Resposta abaixo↓↓↓↓↓↓Resposta: não espera se encontrar neste caso estalido de abe…
9 JUNHO 2016

A Ressonância Magnética Cardíaca (RMC) para avaliar isquemia vem sendo estudada há cerca de 20 anos, tornando-se confiável e segura com o avanço das técnicas de aquisição e dos equipamentos. O exame p…
30 MAIO 2016