Formado em Medicina na Universidade Estácio de Sá ⦁ Residência em Clínica Médica pela Universidade Federal Fluminense (UFF-HUAP) ⦁ Cursando residência (R2) de Radiologia e Diagnóstico por Imagem na Universidade Federal do Rio de Janeiro (UFRJ-HUCFF) ⦁ Instagram: philippe_martins28
2 artigos publicados
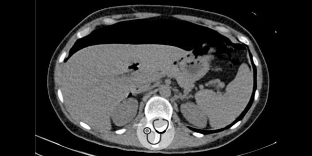
Familiares negaram febre, espirro e coriza. História patológica pregressa de hipertensão arterial sistêmica e outras condições.
7 JUNHO 2023

Paciente 50 anos, sexo feminino, dá entrada na emergência relatando dor abdominal no quadrante superior e inferior esquerdo.
17 SETEMBRO 2020