
Certamente um dos maiores destaques e avanços na cardiologia recente veio dos novos resultados com relação à morbimortalidade na área de insuficiência cardíaca (IC), emergindo com novidades praticamen…
7 MAIO 2024

Quase 12 anos após a descoberta da técnica de edição gênica in vivo, pelas Dra. Jennifer Doudna e Dra. Emmanuelle Charpentier (ganhadoras do Nobel de Química em 2020), finalmente a Food and Drug Admin…
23 JANEIRO 2024

A cardiomiopatia dilatada genética (CMD) é uma condição em que ocorre a dilatação do ventrículo esquerdo (VE) e uma redução na fração de ejeção (FE), sem causas secundárias, como isquemia miocárdica, …
15 JANEIRO 2024

A Miocardiopatia Hipertrófica (MCH) é uma doença genética predominantemente autossômica dominante associada a aumento da morbidade e mortalidade. Caracteriza-se pelo aumento da massa cardíaca, decorre…
20 SETEMBRO 2023

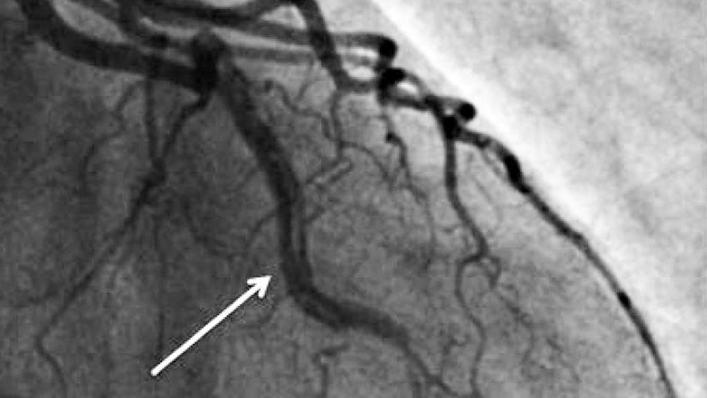
Recentemente, descobertas surpreendentes na área da cardiologia estão lançando luz sobre um problema que antes era considerado raro: a Dissecção de Artéria Coronária Espontânea (em inglês, Spontaneous…
11 SETEMBRO 2023

Existe relação entre Doença de Chagas e Açaí? A Doença de Chagas foi descoberta em 1909 pelo brasileiro Carlos Chagas, que não apenas delineou o ciclo total de propagação, assim como também as manifes…
10 AGOSTO 2023

A coenzima Q10 (CoQ10), ou ubiquinona, é uma substância produzida pelo nosso corpo e desempenha um papel essencial na função auxiliar no metabolismo energético (produção de ATP). É encontrada em todas…
20 JUNHO 2023

Nos últimos anos, temos visto avanços significativos na área da medicina de precisão, especialmente no que diz respeito ao seu papel nas doenças cardiovasculares de origem mendeliana. Além do conhecim…
13 JUNHO 2023

A avaliação do risco cardiovascular desempenha um papel fundamental na prevenção e no manejo de doenças cardíacas. Identificar fatores de risco tradicionais, como pressão arterial elevada, colesterol …
26 MAIO 2023