
O aneurisma de aorta é uma condição potencialmente fatal, uma vez que pode levar a ruptura ou dissecção deste vaso. Dilatações da aorta (ectasias ou aneurismas) podem acontecer em quaisquer segmentos …
12 AGOSTO 2021

A correção endovascular do aneurisma de aorta abdominal (EVAR) é considerado, de acordo com os principais guidelines, a primeira opção para pacientes portadores de AAA >5.5 cm e razoável expectativa d…
23 JUNHO 2021

Anticoagulantes orais não-antagonistas da vitamina K (NOACs), incluindo o rivaroxaban, são recomendados como a primeira linha de tratamento no manejo de pacientes com tromboembolismo venoso agudo (TVP…
5 AGOSTO 2020

A edição de 4 de Dezembro do JACC (Journal of the American College of Cardiology) trouxe uma análise comparativa sobre as diretrizes americana (AHA/ACC) e europeia (ESC/ESVC) sobre o diagnóstico e tra…
16 DEZEMBRO 2018

A Doença Arterial Obstrutiva Periférica (DAOP) é a terceira mais prevalente manifestação da aterosclerose atrás apenas da doença coronariana e cerebrovascular. Está presente em mais de 200 milhões de …
29 JUNHO 2018

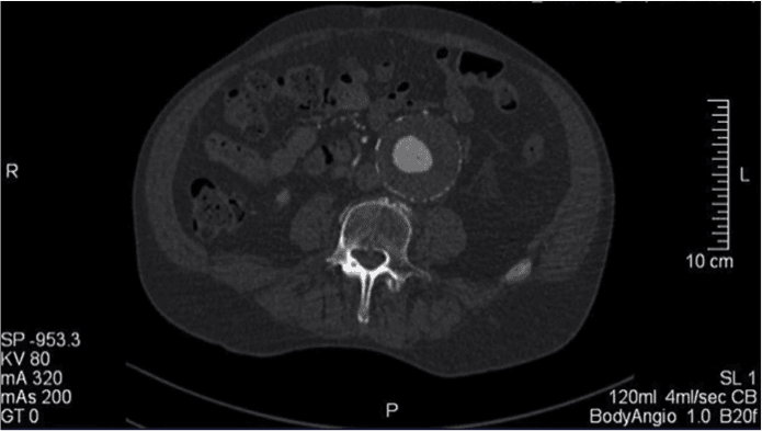
Paciente masculino, 72 anos, com queixa de dor abdominal contínua em mesogástrio há 3 dias refratária a analgésicos convencionais. No exame físico, encontra-se normal hemodinamicamente e presença de m…
5 MAIO 2018

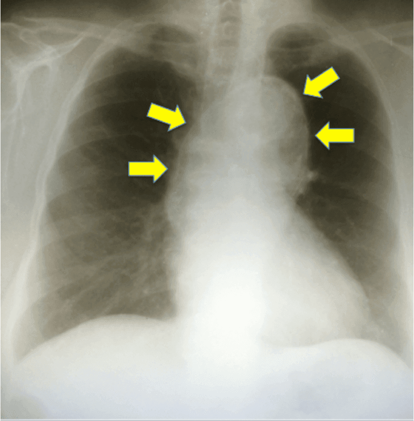
O aneurisma de aorta é uma condição potencialmente letal, uma vez que pode levar à ruptura ou dissecção. A etiologia das dilatações da Aorta varia conforme sua topografia sendo, na Ascendente (As), p…
20 FEVEREIRO 2018

A Sociedade de Cirurgia Vascular (SVS) publicou a primeira atualização em 9 anos das diretrizes para o manejo de pacientes com aneurisma da aorta abdominal (AAA). As orientações abordam a correção end…
16 JANEIRO 2018

A dissecção de aorta (DA) é definida como uma laceração na camada íntima e lâmina elástica interna na parede da Aorta ocasionando sua separação em dois canais.A classificação mais utilizada é a de Sta…
8 MAIO 2017

Complicações cardiovasculares como o infarto agudo do miocárdio (IAM) são as principais responsáveis pela morbimortalidade em pacientes adultos submetidos a cirurgias não-cardíacas. O processo de enve…
19 ABRIL 2017