
Seguem os 10 principais pontos na abordagem da fibrilação atrial (FA) em pacientes internados.1- A FA aguda é definida como aquela detectada no cenário de cuidados intensivos ou doença aguda – isso in…
22 MARÇO 2023

Os DOACs (“Direct Oral AntiCoagulants”) trouxeram um grande avanço na prática clínica. Já fizemos um grande resumo sobre esses agentes nesse post. O quarteto inovador (rivaroXabana, dabigatrana, ApiXa…
12 NOVEMBRO 2021

A prevalência de fibrilação atrial aumenta a prevalência com a idade, sendo a arritmia responsável por 1 a cada 7 casos acidente vascular cerebral isquêmico (AVCi). Os casos de AVCi secundários à FA t…
22 JULHO 2021

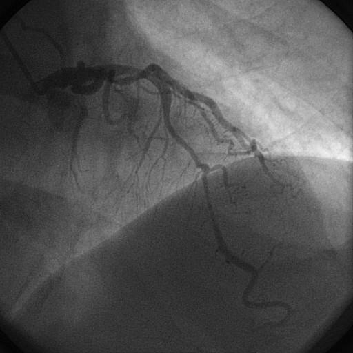
A cinecoronariografia ou angiografia coronariana ainda é considerada o método de imagem padrão-ouro para avaliação da anatomia coronariana. Desde a primeira angioplastia coronariana realizada, a angio…
12 OUTUBRO 2018

A fibrilação atrial (FA) é uma afecção clínica extremamente comum. A ocorrência assim como a prevalência da FA é maior na população acima de 75 anos, o que varia entre 8 e 10% nos indivíduos nesta fai…
12 ABRIL 2017

Já vimos em outro post que a onda T invertida em V1 é considerada achado normal. Mas, e se virmos inversão de onda T de V1 a V4? Isso pode ser normal? Há estudos mostrando que tal padrão pode ser encontrado em pacientes afrodescendentes sem indicar anormalidade cardíaca. Contudo, em pacientes de raça branca havia uma carência de dados sobre isto.
9 JANEIRO 2017

Como calcular o risco cardiovascular de seu paciente? Qual o risco dele ter um infarto ou morte de origem cardiovascular nos próximos 10 anos? Quais os melhores escores para isto? Framingham? Reynolds…
7 JANEIRO 2017

As estatinas são hoje a classe de medicamentos mais prescrita nos EUA. Alguns defendem que parte de seus efeitos estão relacionados à uma atividade pleotrópica – reduzindo a inflamação vascular e redu…
6 JANEIRO 2017

Fibrilação atrial é uma das morbidades cardiológicas de maior dificuldade para manejo prático. Os novos anticoagulantes orais (NOACS) surgiram como boa opção terapêutica para o manejo de pctes com FA….
1 SETEMBRO 2016

Artigo publicado recentemente no JACC traz informações importantes para que possamos avançar na prevenção de morte súbita em atletas. Um dos autores (Papadakis) estuda genética de maratonistas há mais…
1 JUNHO 2016