
A doença inflamatória pélvica (DIP) é um processo inflamatório no sistema reprodutor feminino causado por germes ascendentes provenientes da vagina. Os principais agentes causadores são a Neisseria go…
6 SETEMBRO 2022

As vacinas durante a gestação são essenciais para prevenir complicações materno fetais e dos recém-nascidos. Nos casos de influenzae pertussis, por exemplo, os bebês ainda não produzem esses anticorpo…
1 SETEMBRO 2022

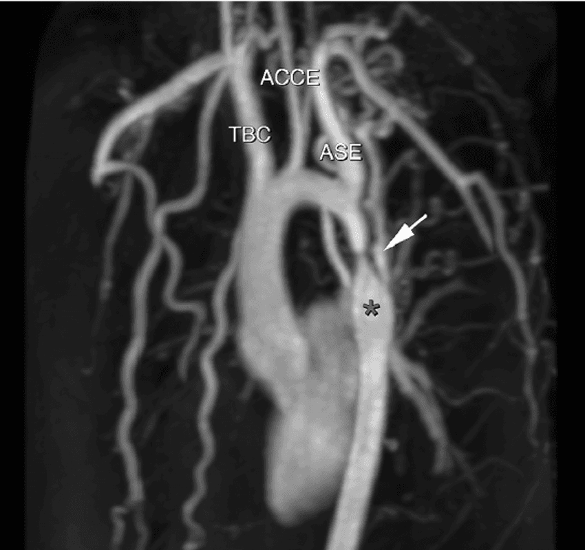
Qué es la Coartación de aorta?Consiste en estrechamiento de la luz del aorta situado la mayoría de las veces ( 96%) en la región localizada entre el origen de la arteria subclavia izquierda y la regió…
7 SETEMBRO 2020

Si se trata de un paciente sintomático con IC con fracción de eyección reducida, que ya está en tratamiento con IECA o BRA + betabloqueante + antagonista de mineralocorticoides durante 3 a 6 meses, po…
11 AGOSTO 2020
Summary of the article PARNER, the cohort Presented at the ACC 15 congress, which changes the results in 5 years of percutaneous aortic valve implantation in comparison with conventional valve surgery…
11 ABRIL 2020