
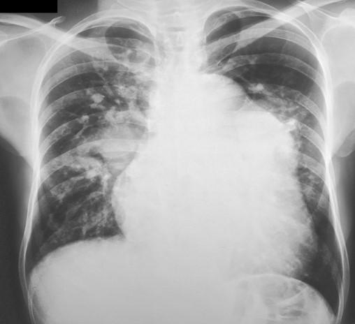
Mulher de 28 anos vem ao cardiologista encaminhada de unidade básica. Refere que a mãe sempre relatou que ela era portadora de sopro detectada no primeiro ano de vida. Sempre foi “cansadinha” e segund…
27 MAIO 2022

Em um post prévio, vimos vários contextos sobre a Síndrome de Eisenmenger. Neste post, discutiremos a parte de tratamento: Considerações terapêuticasIntrodução de terapêutica específica para hiperten…
13 MAIO 2022

A Síndrome de Eisenmenger (SE) permanece uma entidade clínica complexa e desafiadora que cursa com hipoxemia crônica e envolvimento multissistêmico incluindo eritrocitose secundária geralmente associa…
5 MAIO 2022

Estrutura vascular que conecta a aorta descendente à artéria pulmonar principal próximo à origem da artéria pulmonar esquerda.
5 JUNHO 2020

Consiste em estreitamento do lúmen da aorta situado na maioria das vezes ( 96% ) na região localizada entre a origem da artéria subclávia esquerda e a região do canal arterial ( istmo da aorta ).
18 MAIO 2020

Resumão de pontos importantes que você tem que saber sobre comunicação interatrial (CIA)Quais os tipos de CIA?Há 4 tipos de comunicação interatrial: ostium secundum, ostium primum, tipo deio venoso (pode ser superior ou inferior) e tipo seio coronário.
1 MAIO 2020