
Com o avanço da medicina, foram surgindo novos medicamentos com a função de prevenção de eventos cardioembólicos em substituição à antiga varfarina ( Marevan@).
30 AGOSTO 2024

Um recente estudo observacional demonstrou que trabalhadores noturnos têm um risco aumentado de desenvolver fibrilação atrial (FA). Uma coorte com 283.657 indivíduos sem FA e 276.009 sem doença de art…
3 NOVEMBRO 2021

Vimos em post anterior que situações que diminuem o aporte de oxigênio celular podem causar aumento dos níveis de lactato sérico. Nest post, veremos o que este acúmulo de lactato no sangue pode causar ao paciente.
9 JUNHO 2018

Em 05/02/2014, o FDA (órgão similar à ANVISA) negou autorização para a comercialização da aspirina (AAS ) nos Estados Unidos com a finalidade de prevenção primária de Infartos do miocárdio ou AVCs.
9 MAIO 2014

ClinicalKey oferece acesso ao maior conteúdo clínico disponível no mercado, são mais de 1.000 livros para download e 500 revistas médicas, 2.800 monografias sobre drogas, 15.000 vídeos de procedimentos, imagens, resumos de MEDLINE e revistas selecionadas de terceiros.
19 MARÇO 2014

Lançamento do Manual de Cardiologia CardioPapers.
5 SETEMBRO 2013

Recentemente o FDA( Estados Unidos) aprovou o Apixaban (Eliquis, Bristol-Myers Squibb/Pfizer) para prevenção de eventos tromboembólicos e AVCs em portadores de FA não valvar, juntando-se ao rivaroxaban (Xarelto, Bayer/Johnson & Johnson) e dabigatran (Pradaxa, Boehringer Ingelheim) como os novos anticoagulantes disponíveis no mercado . Com estas 3 novas alternativas orais à varfarina é importante conhecer as peculariedades de cada medicamento em comparação com a varfarina ( marevan).
25 JANEIRO 2013

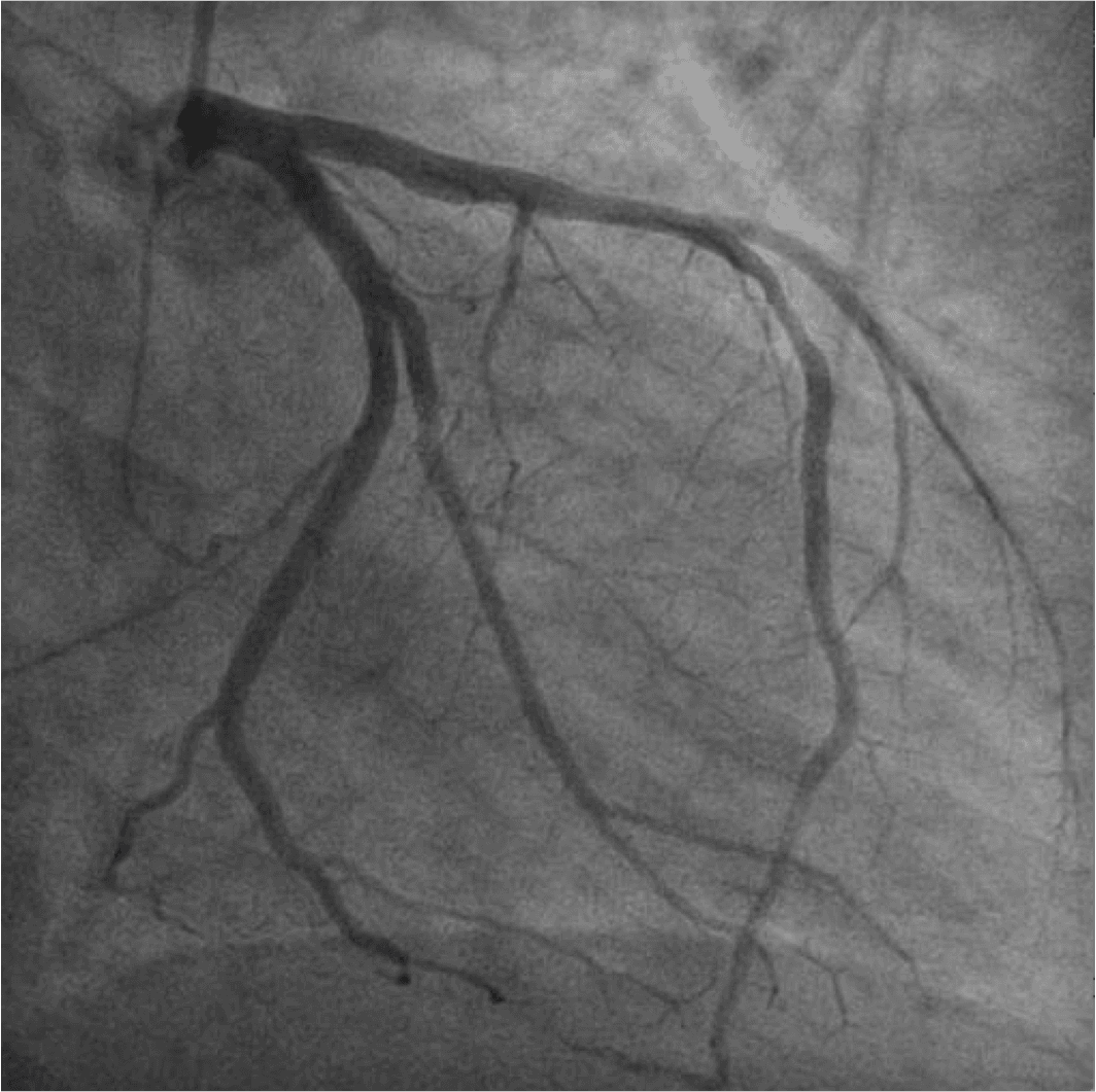
Em pacientes uniarteriais, a realização de testes não invasivos permite determinar o significado funcional da estenose coronária e correlacionar com a angiografia de forma simples e acurada.
1 JULHO 2012

Apesar do desenvolvimento crescente dos métodos de imagem não invasivos, a resolução temporal e espacial da coronariografia permanece como o padrão ouro para guiar revascularização.
25 JUNHO 2012

Apesar de termos falado previamente da abordagem da SCA no idoso, hoje enfocaremos no uso da dose de ataque de clopidogrel ( 300mg) em pacientes com idade >= 75 anos.
1 DEZEMBRO 2011