Logotipo Afya
Radiologia29 março 2026

Quiz: Como reduzir a ocorrência do câncer de colo uterino localmente avançado?

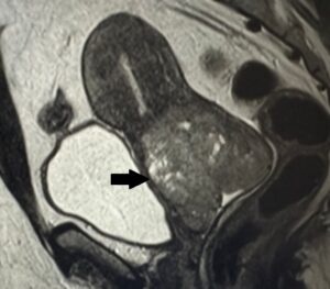
A imagem mostra um câncer de colo uterino localmente avançado (seta). Pensando em boas práticas assistenciais, qual estratégia tem maior potencial para reduzir a ocorrência de casos como este? 

Qual estratégia tem maior potencial para reduzir a ocorrência de casos como este?

ASolicitar tomografia de pelve em mulheres assintomáticas

BReservar prevenção apenas para pacientes com sintomas ginecológicos

CConcentrar esforços apenas em encaminhamento rápido para oncologia

DFortalecer vacina contra HPV e rastreamento regular da população alvo

Autoria

Foto de Gabriel Madeira Werberich

Gabriel Madeira Werberich

Possui graduação em Medicina pela Universidade do Estado do Rio de Janeiro (2009). Residência de Clínica Médica pela UERJ/Hospital Universitário Pedro Ernesto(HUPE)/Policlínica Piquet Carneiro(PPC). Residência Medica em Oncologia Clínica pelo Instituto Nacional de Câncer (INCA). Fellowship (R4) de Oncologia Clínica no Hospital Sírio Libanês (2016). Concluiu a residência médica de Radiologia e Diagnóstico por Imagem no HUCFF-UFRJ e R4 de Radiologia do Centro de Imagem do Copa Dor, com ênfase em Ressonância Magnética de Medicina Interna, e mestrado em Medicina na UFRJ concluído em 2023. Tem experiência na área de Clínica Médica, Oncologia Clínica e Diagnóstico por Imagem em Tórax, Medicina Interna e Radiologia Oncologica. Pos-Graduação em curso de Inteligencia Artificial aplicada a Saúde.

Como você avalia este conteúdo?

Sua opinião ajudará outros médicos a encontrar conteúdos mais relevantes.

Compartilhar artigo

Newsletter

Aproveite o benefício de manter-se atualizado sem esforço.

Teste seus conhecimentos também em: