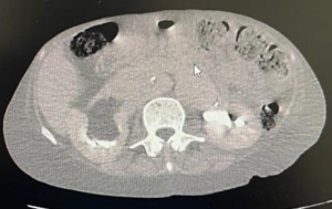
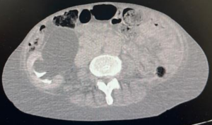
Paciente feminina, 68 anos, negra, que vive com HIV há cerca de 18 anos em tratamento irregular estava internada em unidade hospitalar para investigação de neoplasia linfoproliferativa e durante investigação foi solicitada tomografia computadorizada de abdome e pelve (relato de grande ureterohidronefrose direita e provável compressão ureteral extrínseca ao nível dos vasos ilíacos, com eliminação de contraste do ureter esquerdo em fase tardia), sendo pedido parecer a urologia.
Comorbidades: hipertensão arterial sistêmica (HAS), dislipidemia e diabetes (DM). Relatou, também, internações anteriores para tratamento de tuberculose pulmonar e neurotoxoplasmose. Nega tabagismo, uso de drogas ilícitas, alergias. Etilista social e sedentária. Cirurgias prévias: apendicectomia convencional e duas cesarianas. História familiar de HAS e DM, negando câncer.
Ao exame físico apresentava-se lúcida e orientada, hipocorada +/4, acianótica, anictérica, eupneica, hemodinamicamente estável, em regular estado geral.
Abdome distendido, peristalse +, dor à palpação profunda e sem irritação peritoneal, Giordano -, com cicatriz mediana infraumbilical e cicatriz de pfannestiel, ausência de hérnias de parede anterior e/ou massas.
Os exames laboratoriais de entrada mostravam anemia, leucocitose com desvio para esquerda, função renal global preservada, glicemia elevada, PCR elevada, urinocultura negativa e demais analitos dentro da normalidade.



Veja também: Quiz: suspensão de medicamento antes da cirurgia
Qual a melhor conduta neste caso?
AUretrocistoscopia com implante de cateter duplo J à direita.
BConduta expectante
CNefrectomia direita vídeolaparoscópica.
DNefrostomia direita por radiointervenção
Autoria

Diogo Perlingeiro
Como você avalia este conteúdo?
Sua opinião ajudará outros médicos a encontrar conteúdos mais relevantes.




